X-ray และ CBCT จำเป็นแค่ไหน ในคนนอนกรนหรือ OSA?

1060 จำนวนผู้เข้าชม  | 

X-ray และ CBCT จำเป็นแค่ไหน ในคนนอนกรนหรือ OSA?

ศาสตราจารย์นายแพทย์ วิชญ์ บรรณหิรัญ
American Board of Sleep Medicine,
Certified international sleep specialist

 
   ผู้ป่วยจำนวนไม่น้อยที่มีปัญหา นอนกรน หลับไม่สดชื่น หรือสงสัยโรคหยุดหายใจขณะหลับจากการอุดกั้น (Obstructive Sleep Apnea: OSA) มักมีคำถามว่า จำเป็นต้องเอกซเรย์หรือสแกน CT หรือไม่ บทความนี้จึงอธิบายบทบาทของ X-ray cephalometry และ Cone Beam CT (CBCT) อย่างตรงไปตรงมา ว่าเหมาะใช้ในรายใด และไม่จำเป็นในรายใด

   X-ray หรือ CBCT ใช้วินิจฉัย OSA ได้หรือไม่?

  • ไม่สามารถใช้ยืนยันการวินิจฉัย OSA ได้โดยตรง เนื่องจาก OSA เป็นภาวะที่เกิดจาก การยุบตัวของทางเดินหายใจขณะหลับ ขณะที่ภาพเอกซเรย์หรือ CT เป็นภาพนิ่งในขณะตื่น
  • การยืนยันโรคและประเมินความรุนแรงจึงยังต้องอาศัย การตรวจการนอนหลับ (sleep test) เป็นหลัก
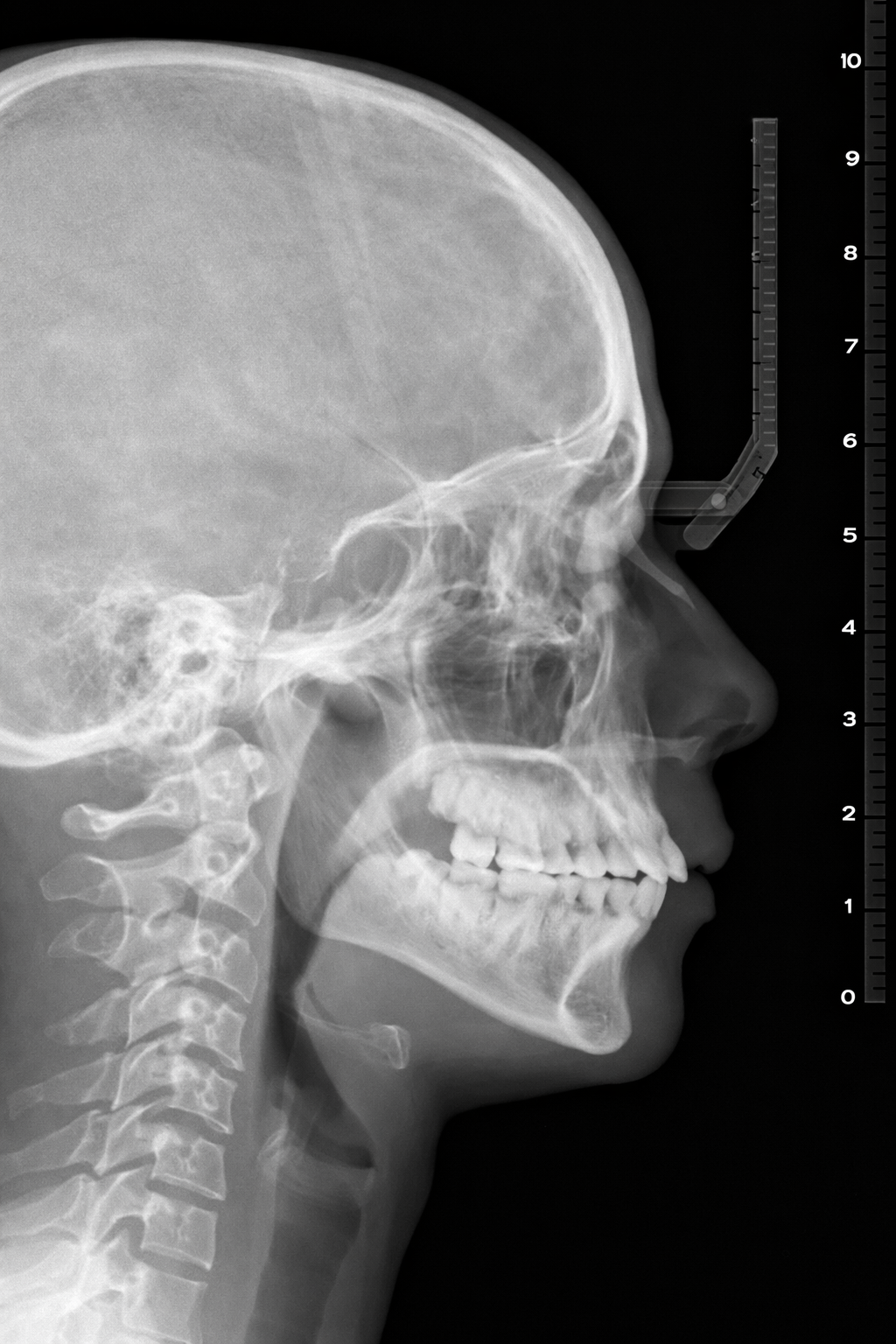
   X-ray cephalometry ช่วยอะไรในคนไข้นอนกรน
  • X-ray cephalometry เป็นภาพเอกซเรย์ด้านข้างศีรษะ ใช้ประเมินความสัมพันธ์ของโครงสร้างใบหน้า เช่น ขากรรไกร คาง เพดานอ่อน ลิ้น และตำแหน่งของกระดูกไฮออยด์ การตรวจชนิดนี้ช่วยให้แพทย์พิจารณาได้ว่า โครงสร้างใบหน้าอาจเป็นปัจจัยร่วมของการนอนกรนหรือ OSA หรือไม่
  • โดยทั่วไป X-ray cephalometry เหมาะในผู้ป่วยที่มีลักษณะคางถอย ใบหน้าแคบ หรือการสบฟันผิดปกติ ข้อดีคือ ใช้เวลาสั้น ค่าใช้จ่ายไม่สูง และได้รับรังสีในระดับต่ำ แต่ไม่สามารถบอกความรุนแรงของ OSA ได้ และไม่ใช้แทน sleep test

   Cone Beam CT (CBCT) จำเป็นในรายใด ?
  • Cone Beam CT เป็นการตรวจภาพสามมิติที่ให้รายละเอียดโครงสร้างขากรรไกรและบริเวณรอบทางเดินหายใจได้ชัดเจน เหมาะใช้ในผู้ป่วยที่ต้องมีการ วางแผนการรักษาที่เกี่ยวข้องกับโครงสร้างใบหน้า เช่น การจัดฟัน การขยายขากรรไกร หรือการผ่าตัดที่เกี่ยวข้องกับขากรรไกรและโครงหน้า
  • CBCT ช่วยให้แพทย์และผู้ป่วยเข้าใจปัญหาโครงสร้างได้ตรงกันมากขึ้น อย่างไรก็ตาม CBCT ยังเป็นภาพนิ่งในขณะตื่น ไม่สามารถแสดงการยุบตัวของทางเดินหายใจขณะหลับได้ และ ไม่จำเป็นต้องตรวจในผู้ป่วยทุกราย

   แพทย์จะพิจารณาเลือกการตรวจเฉพาะที่จำเป็นสำหรับผู้ป่วยแต่ละราย เพื่อหลีกเลี่ยงการตรวจเกินความจำเป็นและลดภาระค่าใช้จ่ายของผู้ป่วย

   สรุปว่า X-ray cephalometry และ CBCT ไม่ได้ใช้เพื่อยืนยันการวินิจฉัย OSA โดยตรง แต่เป็นเครื่องมือที่ช่วยให้แพทย์เข้าใจโครงสร้างทางกายวิภาค และวางแผนการรักษาให้เหมาะสมกับแต่ละบุคคล
   หากมีอาการนอนกรน ง่วงกลางวัน หรือสงสัยภาวะหยุดหายใจขณะหลับ ควรได้รับการประเมินโดยแพทย์ผู้เชี่ยวชาญ เพื่อเลือกการตรวจและแนวทางรักษาที่เหมาะสมกับคุณจริง ๆ

 


Powered by MakeWebEasy.com
เว็บไซต์นี้มีการใช้งานคุกกี้ เพื่อเพิ่มประสิทธิภาพและประสบการณ์ที่ดีในการใช้งานเว็บไซต์ของท่าน ท่านสามารถอ่านรายละเอียดเพิ่มเติมได้ที่ นโยบายความเป็นส่วนตัว  และ  นโยบายคุกกี้