29495 Views |
รองศาสตราจารย์นายแพทย์ วิชญ์ บรรณหิรัญ
American Board of Sleep Medicine
Certified International Sleep Specialist
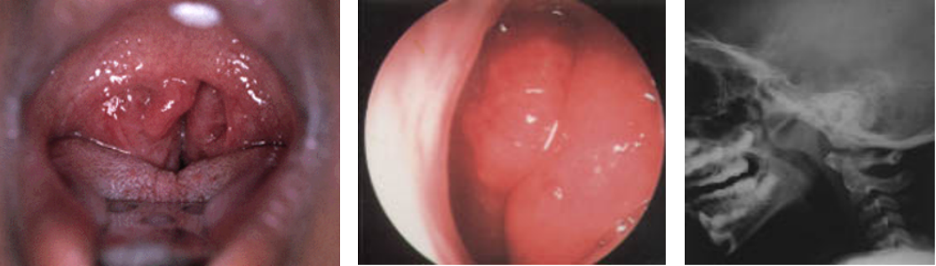
ทอนซิล (tonsil) และอะดีนอยด์ (adenoid) เป็นเนื้อเยื่อน้ำเหลืองชนิดเดียวกัน ซึ่งกระจายอยู่ในทางเดินหายใจส่วนบนหลายต่ำแหน่ง โดยทอนซิลจะเห็นเป็นก้อนที่อยู่ข้างลิ้นไก่และโคนลิ้น 2 ข้าง ส่วนอะดีนอยด์จะอยู่ในส่วนหลังของโพรงจมูกซึ่งมองไม่เห็นจากการตรวจธรรมดา มักต้องใช้การส่องกล้องหรือดูจากฟิล์มเอกซเรย์ดังแสดงในรูป หากเนื้อเยื่อทั้งสองนี้โตเกินจะไปขัดขวางทางเดินหายใจ ทำให้นอนกรน หายใจลำบาก หยุดหายใจขณะหลับ และเกิดผลเสียต่อสุขภาพและพัฒนาการหลายอย่าง การผ่าตัดทอนซิล (tonsillectomy) เป็นวิธีที่มีประสิทธิผลวิธีหนึ่งในการรักษานอนกรน และโรคหยุดหายใจขณะหลับจากการอุดกั้น (obstructive sleep apnea หรือ OSA) นิยมทำในผู้ป่วยนอนกรนที่มีทอนซิลโตชัดเจน หรือติดเชื้อทอนซิลอักเสบบ่อย ในเด็กนิยมทำร่วมกับการผ่าตัดอะดีนอยด์ (adenoidectomy) โดยเฉพาะหากมีอาการคัดจมูก น้ำมูกไหลเรื้อรัง ต้องอ้าปากหายใจเป็นประจำ จนรบกวนคุณภาพชีวิตและพัฒนาการ สำหรับในผู้ใหญ่นิยมทำร่วมกับการผ่าตัดตกแต่งลิ้นไก่เพดานอ่อนและคอหอย (uvulopalatopharyngoplasty) โดยการผ่าตัดเหล่านี้จะทำผ่านทางการใส่เครื่องมือทางช่องปาก (ไม่มีแผลที่เห็นได้จากภายนอก) ทำภายใต้การดมยาสลบ และใช้เวลาพักรักษาตัวในโรงพยาบาลประมาณ 1-2 วัน

ผลการรักษา
มีงานวิจัยจำนวนมากยืนยันว่า หากวินิจฉัยและเลือกผู้ป่วยได้ดีและใช้เทคนิคการทำที่เหมาะสม การผ่าตัดนี้สามารถลดอาการนอนกรน ลดอาการง่วงกลางวัน ช่วยเพิ่มคุณภาพการนอนหลับ และช่วยให้พัฒนาการหลายอย่างของผู้ป่วยเด็กดีขึ้นได้ โดยปกติจะทำผ่าตัดเพียงครั้งเดียว (มากกว่าร้อยละ 90 ไม่ต้องทำซ้ำอีก) นอกจากนี้ผู้ป่วยส่วนใหญ่จะติดเชื้อที่คอน้อยลง คัดจมูกลดลง และไม่ต้องอ้าปากหายใจบ่อย ทำให้หายใจได้สะดวกขึ้น
การเตรียมตัวก่อนผ่าตัด
เนื่องจากการผ่าตัดต่าง ๆ ดังข้างต้น ส่วนใหญ่มักต้องทำภายใต้การดมยาสลบ ดังนั้นก่อนการผ่าตัดแพทย์จะใช้ผลการทดสอบการนอนหลับ (sleep test) และมีการประเมินทางเดินหายใจส่วนบนอย่างละเอียด เพื่อหาตำแหน่ง ระดับความรุนแรง ลักษณะและส่วนประกอบของทางเดินหายใจส่วนบนที่อุดกั้น โดยอาจใช้วิธีต่าง ๆ เช่น การตรวจร่างกายทางโสต ศอ นาสิก ศีรษะ ใบหน้าและลำคออย่างละเอียด หรืออาจส่งถ่ายภาพรังสีของกะโหลกศีรษะ นอกจากนี้ต้องมีการตรวจเลือด ตรวจปัสสาวะ เอกซเรย์ปอด วัดคลื่นไฟฟ้าหัวใจ หรืออื่น ๆ เพื่อประเมินความพร้อมของสุขภาพผู้ป่วย โดยเฉพาะหากผู้ป่วยมีโรคประจำตัวหลายอย่าง อาจต้องเตรียมพร้อมเป็นพิเศษ เช่น การเตรียมห้องพักฟื้นพิเศษ หรือต้องหยุดยาบางชนิดล่วงหน้าอย่างน้อย 1 สัปดาห์ เช่น หยุดยาแอสไพริน ยาละลายลิ่มเลือด และอาหารเสริมบางอย่างที่อาจมีผลต่อการผ่าตัดและการดมยาสลบ ในวันผ่าตัดควรงดน้ำและอาหารก่อนผ่าตัดอย่างน้อย 6-7 ชั่วโมง เพื่อป้องกันภาวะแทรกซ้อนจากการดมยาสลบ ทั้งนี้ผู้ป่วยควรจะรักษาสุขภาพให้แข็งแรง เช่น พักผ่อนอย่างเพียงพอ เพื่อป้องกันไข้หวัดหรือการติดเชื้อซึ่งอาจทำให้ต้องเลื่อนการผ่าตัด
ความเสี่ยงของการผ่าตัด
โดยทั่วไปพบไม่บ่อย เช่น เลือดออกจากแผลทางปากหรือจมูก ปกติมักมีปริมาณไม่มากและหยุดได้เอง แต่บางรายถ้าเลือดออกไม่หยุดอาจต้องไปทำการห้ามเลือดในห้องผ่าตัด (พบได้ร้อยละ 1-2) ผู้ป่วยบางรายอาจรู้สึกหายใจลำบากจากการบวมของทางเดินหายใจรอบแผลผ่าตัด ผู้ป่วยสามารถพูดได้ชัดปรกติ แต่กรณีที่มีอาชีพใช้เสียงมาก เช่น นักร้องหรือวิทยากร ควรแจ้งให้แพทย์ทราบก่อน นอกจากนี้บางรายอาจมีแผลบริเวณเหงือก ลิ้น หรืออาจมีฟันโยก จากการใส่เครื่องมือในช่องปาก ส่วนการติดเชื้อหลังผ่าตัดพบได้น้อย เนื่องจากการผ่าตัดทอนซิลมีผลต่อภูมิคุ้มกันน้อยมาก ส่วนความเสี่ยงรุนแรงอื่น ๆ เช่น ปอดอักเสบหรือน้ำท่วมปอด พบได้น้อยมาก อย่างไรก็ตามหากผู้ป่วยมีโรคประจำตัว เช่น อ้วนมาก เบาหวาน ความดันโลหิตสูง โรคเลือด โรคหัวใจและโรคปอด อาจมีอัตราเสี่ยงของภาวะแทรกซ้อนสูงขึ้น ดังนั้นก่อนผ่าตัด ศัลยแพทย์ วิสัญญีแพทย์ และทีมบุคลากรที่เกี่ยวข้องจะให้คำแนะนำข้อมูลต่าง ๆ และเปิดโอกาสให้ผู้ป่วยซักถามข้อกังวลสงสัย เมื่อผู้ป่วยพร้อมและเข้าใจกระบวนการต่าง ๆ จะมีการลงนามในเอกสารแสดงความยินยอมเข้ารับการผ่าตัดต่อไป
การดูแลรักษาหลังผ่าตัด
การดูแลขึ้นอยู่กับสุขภาพของผู้ป่วยแต่ละราย ส่วนมากต้องพักฟื้นเพื่อเฝ้าสังเกตอาการในโรงพยาบาลหลังผ่าตัด 1-2 วัน เพื่อให้น้ำเกลือและยาทางหลอดเลือดดำ จนกระทั่งผู้ป่วยรับประทานอาหารได้มากขึ้นและพร้อมออกจากโรงพยาบาล ในช่วงแรกผู้ป่วยอาจเห็นฝ้าสีขาวอยู่ในช่องคอบริเวณแผลซึ่งจะหายไปเอง และอาจมีอาการเจ็บคอ กลืนลำบาก รับประทานไม่ค่อยสะดวก ทำให้มีน้ำหนักลดได้ อย่างไรก็ตามผู้ป่วยจะได้รับยาที่จำเป็น เช่น ยาแก้ปวด ยาแก้อักเสบ และยาหยอดจมูก เพื่อลดการบวมของทางเดินหายใจในช่วงแรก ผู้ป่วยควรนอนศีรษะสูง (ใช้หมอนหนุนหรือเตียงที่ปรับได้) อมน้ำแข็งบ่อย ๆ งดเล่นกีฬาที่หักโหม งดยกของหนัก หลีกเลี่ยงการขับเสมหะหรือจามแรง ๆ และควรรับประทานอาหารเหลวหรืออ่อน เช่น ไอศกรีม โยเกิร์ต เครื่องดื่มที่ให้พลังงาน เต้าหู้ เต้าฮวย พุดดิ้ง วุ้น โจ๊ก ข้าวต้ม ไม่ควรรับประทานอาหารแข็ง ร้อน หรืออาหารรสรสจัด (ประมาณ 1-2 สัปดาห์แรก) และควรรักษาความสะอาดในช่องปาก เช่น บ้วนปากและแปรงฟันทุกครั้งหลังรับประทานอาหาร รวมเวลาที่ใช้พักฟื้นประมาณ 7-10 วัน อย่างไรก็ตามหากมีอาการไม่ดีขึ้นควรรีบไปพบแพทย์
การนัดตรวจติดตามอาการ
หลังผ่าตัดประมาณ 1-2 สัปดาห์ แพทย์จะนัดมาติดตามผลเพื่อดูอาการ ตรวจแผลและฟังผลชิ้นเนื้อ (ถ้ามีการส่งตรวจ) หลังจากนั้น 3-4 สัปดาห์ จะนัดมาเพื่อประเมินผลการรักษาและนัดห่างขึ้นเพื่อพิจารณาแนวทางการดูแลอื่น ๆ ที่เหมาะสม ทั้งนี้ผู้ป่วยบางรายแพทย์อาจนัดทำการทดสอบการนอนหลับอีกครั้งหลังการผ่าตัดตามความจำเป็นต่อไป